Symptoms of loose teeth and Receding Gums Loose Teeth include bad breath, yellow or red gums, plaque buildup, and Periodontal disease. There are many treatment options available to deal with these problems.Â
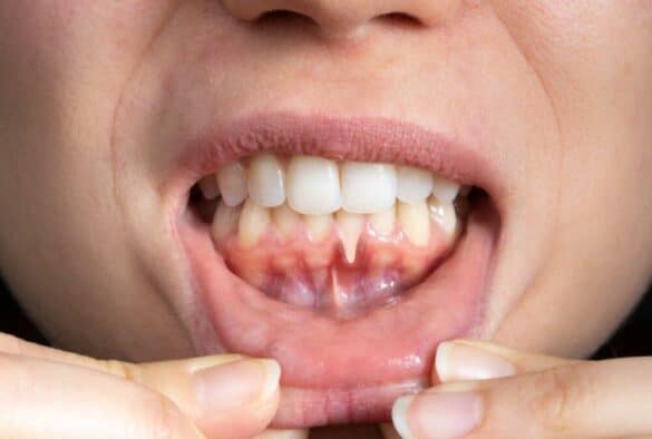
Red or puffy gums
Having red or puffy gums may indicate gum disease. Gum disease is a common condition that affects nearly three out of four adults. It begins when bacteria build up on the teeth and gums. This bacteria feeds on the sugars in foods and drinks. The bacteria forms plaque, which then hardens into tartar. A professional cleaning can only remove the tartar.

Periodontal disease is also a cause of receding gums. Symptoms of gum disease include red or puffy gums, bad breath, and a loose tooth or teeth. Treatment may include antibiotics, gum grafting, and flap surgery, depending on the severity.
Periodontal disease can cause painful gums that bleed easily when brushing. The gums may also swell, which may indicate gum infection.Â
You can prevent gum recession by brushing and flossing regularly. Using a soft toothbrush can help remove bacteria. The use of desensitising agents can also help promote good oral hygiene.
If you notice red or puffy gums, visit your dentist. Your dentist will perform a physical examination and may take X-rays to determine whether you have periodontal disease. He or she may also refer you to a specialist.
If you have gums that bleed, visit your dentist right away. Having red or puffy gums is a warning sign of gum disease and should be taken seriously. Your dentist can help determine the cause of your bleeding gums and recommend the best treatment for your condition.
Bad breath
Keeping your teeth and gums clean can help prevent bad breath. Maintaining a regular routine for brushing and flossing your teeth is essential. You can also use mouthwash to remove bacteria that may cause bad breath.

You may suffer from gum disease or periodontitis if you have persistent bad breath. Both of these conditions are treatable. You may need to see a dentist to get a proper diagnosis. They will be able to show you the best methods of cleaning your teeth and gums.
Another great way to keep your mouth clean is to drink lots of water. Drinking water helps to keep your mouth moist, which keeps your tongue from rubbing against your teeth. Also, try eating foods high in vitamin C, which stimulates saliva production.
You should also keep a food diary. Write down everything you eat, drink, and chew. It will help you identify any bad breath-causing foods.
You can also chew sugar-free gums. Sugar-free gums can help stimulate saliva production, which helps to clean your mouth.Â
You can also use a gum-chewing product that contains xylitol. Xylitol is a sugar substitute that stimulates saliva production.
Plaque on the teeth
Keeping receding gums under control is essential. It is a condition that can lead to tooth loss and an increased risk of tooth decay.
Plaque is a sticky film made from saliva, leftover food particles, and bacteria. Brushing and flossing daily to keep it off your teeth is essential.
A dentist can help you get gums that are receding into shape. When plaque gets too much, it can cause bleeding. Getting your teeth checked by a dentist as soon as possible is essential. A dentist can also recommend antimicrobial mouthwash to help reduce plaque and bacteria.

Several factors, including gingivitis and periodontitis, can cause receding gums. You may have the problem without even realising it. It is also essential to understand that following a few simple tips can prevent or reverse the condition.
Brushing your teeth regularly, using a soft toothbrush, and flossing daily are essential for keeping your gums healthy. Nevertheless, you need to make sure you are doing this correctly. Brushing hard or using a toothbrush with harsh bristles may cause physical damage to your teeth.
You should also drink plenty of water after meals. It’s also essential to avoid certain sugary foods. You can also use prescription toothpaste to slow the growth of plaque-causing bacteria.
You should also avoid smoking and alcohol. These two can be the leading causes of receding gums. You can also help reduce the problem by quitting tobacco.
Periodontal disease
Periodontal disease means that your gums have been infected and may be pulling away from your teeth. It can also lead to loose teeth, which can lead to tooth loss. You may also experience red, bleeding gums. It is essential to see your dentist or dental hygienist if you notice any of these symptoms.
Gum disease is caused by increased harmful bacteria, which can be carried into the airways and other body parts. People who have periodontal disease have a higher risk of developing stroke and cardiovascular disease.
Gum disease may also be linked to other health conditions, including diabetes and cardiovascular disease. Researchers are working to determine if inflammation plays a role in these diseases.

Symptoms of gum disease can be mild at first, but if left untreated, it can progress to more severe. The 1st step in treating gum disease is to visit your dentist for regular cleanings. You may also need to take a particular medication that helps control the infection.
In more advanced cases, surgical procedures are required. In these cases, the dentist may remove part of the tooth, remove a graft, or perform a function to restore the gums to the tooth. Depending on the severity of the infection, your dentist may recommend a more aggressive treatment.
Some people with gum disease may need to have a procedure called scaling and root planing. This procedure removes tartar, or plaque, from below the gum line. The dentist will then clean and smooth the surface of the tooth root.
Treatment options
Fortunately, there are various treatment options for receding gums and loose teeth. These range from minor surgery to gum grafting. Regardless of the treatment, a good oral health regimen can help protect your teeth and gums from the damage that receding gums can cause.
For example, flossing and brushing your teeth will help remove bacteria. Regular checkups are the best way to monitor your oral health. These will help detect any problems so that they can be treated early.
In addition, regular dental checkups are the best way to avoid gum recession. Your dentist can evaluate the condition and recommend a treatment plan. A mouth guard can help protect your teeth from reoccurring recession.
Other options include desensitising agents, such as varnishes, to close the black gap between your teeth. Composite restorations may also be used to cover the tooth root.

Finally, antibiotics may be used to fight off infection. In addition, you may need to use an antimicrobial mouthwash to help keep your mouth clean.
Although receding gums do not always require treatment, a dentist may recommend that you do so to prevent further damage to your teeth and gums. While there are various treatment options for receding gums and loose teeth, the best option is to maintain good oral health.
FAQs
Q: What are the causes of receding gums?
A: There are many causes of receding gums, including but not limited to poor oral hygiene, periodontal disease, incorrect brushing technique, aggressive tooth brushing, and acid erosion.
Q: How can I prevent receding gums?
A: There are many ways that you can prevent receding gums, including but not limited to: practising good oral hygiene (brushing and flossing regularly), visiting your dentist for regular checkups and cleanings, avoiding smoking and other tobacco products, and reducing your intake of acidic foods and drinks.
Q: Are receding gums and loose teeth related?
A: Yes, receding gums can lead to loose teeth. It is because when the gum tissues around a tooth are weakened or damaged, it puts pressure on the tooth’s root, making it more unstable and prone to loosening.Â
Conclusion
If you’re worried about receding gums loose teeth, don’t panic! There are many ways that you can prevent and treat these problems. The most helpful way to take care of your oral health is by practising good oral hygiene (brushing and flossing regularly), visiting your dentist for regular checkups and cleanings, and avoiding smoking and other tobacco products.Â
Damarion Haley stands as a prominent authority in the fields of Pediatric Dentistry and Dental Health Education, celebrated for her exceptional credentials and qualifications. Aims to provide a comprehensive insight into Damarion Haley’s impressive background, underscoring her pivotal role in the realm of children’s oral health and dental education.
