Gum recession, a common oral health concern, presents a significant challenge to individuals seeking optimal dental well-being. As the gums recede, they expose the underlying roots of the teeth, Receding Gums Severity, which can lead to complications and potential long-term effects if left untreated. This article aims to provide an informative overview of gum recession, including its causes, signs and symptoms, stages, impact on oral health, potential complications, treatment options, and the importance of regular dental check-ups. By exploring these aspects in an objective and impersonal manner, readers will gain a comprehensive understanding of the gravity associated with gum recession.

Causes of Gum Recession
One of the causes of gum recession is periodontal disease. This condition occurs when an infection in the gums and surrounding tissues leads to inflammation and damage. The bacteria in plaque can produce toxins that destroy the connective tissue and bone supporting the teeth, causing the gums to recede. Other factors contributing to gum recession include aggressive brushing or flossing, smoking, hormonal changes, genetic predisposition, and poor oral hygiene. It is important to promptly address gum recession as it can lead to complications such as tooth loss and increased sensitivity. Treatment options for gum recession include:
Deep cleaning procedures like scaling and root planing.
Surgical interventions like gum grafts or pocket reduction surgery.
Maintaining good oral hygiene practices at home using a soft-bristled toothbrush and gentle brushing techniques.

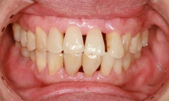
Signs and Symptoms of Gum Recession
A common sign of gum recession is the exposure of the tooth roots. This occurs when the gum tissue surrounding the teeth starts to pull away, creating gaps or pockets between the gums and teeth. Some several signs and symptoms may indicate gum recession:
- Tooth sensitivity: As the tooth roots become exposed, they can become more sensitive to hot and cold temperatures.
- Longer-looking teeth: Gum recession can make teeth appear longer than usual, as more of the tooth structure becomes visible.
- Gum inflammation: Receding gums may be accompanied by redness, swelling, or tenderness in the affected area.
When it comes to treating gum recession, there are various options available. Professional treatments include surgical procedures such as gum grafts or pocket depth reduction. However, some prefer home remedies for gum recession before seeking professional help. These may include using a soft-bristled toothbrush, practicing good oral hygiene habits (such as regular brushing and flossing), and using specific herbal remedies like aloe vera or green tea mouthwash.
Overall, early detection and prompt treatment of gum recession are crucial in preventing further damage to your dental health. It is essential to consult with a dental professional for an accurate diagnosis and appropriate treatment plan tailored to your specific needs.

Stages of Gum Recession
The stages of gum recession can be classified into mild, moderate, and severe based on the extent of gum tissue loss and exposure of tooth roots. In the soft stage, the gums have receded slightly, exposing a small portion of the tooth root. This may cause some sensitivity to hot or cold temperatures. In the moderate stage, more gum tissue is lost, increasing tooth root exposure. The teeth may appear longer than usual, with noticeable gaps between them. Severe gum recession is characterized by extensive loss of gum tissue, exposing a significant portion of the tooth roots. This can increase sensitivity, pain while chewing, and even loosening or shifting teeth. Gum recession prevention involves maintaining proper oral hygiene practices, such as regular brushing, flossing, and routine dental check-ups. Treatment options for gum recession include scaling and root planing procedures to remove plaque and tartar buildup and surgical interventions like gum grafts to restore lost tissue.

Impact of Gum Recession on Oral Health
Tooth root exposure from gum recession can increase sensitivity, pain while chewing, and potential loosening or shifting teeth. The impact of gum recession on overall health should be considered. It has been linked to various health conditions, including cardiovascular disease and diabetes. When gums recede, it creates pockets where bacteria can accumulate and cause inflammation, which may contribute to developing these systemic diseases. Additionally, the aesthetic concerns associated with gum recession can negatively affect one’s self-esteem and confidence. Receding gums may make teeth appear longer or unevenly sized, leading to a less attractive smile. Seeking prompt treatment for gum recession is essential for oral health, maintaining overall well-being, and preserving a pleasing appearance.
Potential Complications of Gum Recession
Potential complications of gum recession include exposing the tooth root, which can lead to increased sensitivity and possible loosening or shifting of teeth. When the gums recede, it tells the vulnerable tooth root, usually protected by gum tissue. This exposure can result in heightened sensitivity to hot and cold temperatures and pain while eating or drinking. Additionally, as the roots become exposed, they are more prone to decay and infection. Losing gum tissue can also cause the teeth to become loose or shift position, leading to bite problems and difficulty chewing or speaking. It is important to address gum recession promptly to minimize these potential complications and maintain optimal oral health.
| Potential Complications | Oral Health Impact |
|---|---|
| Exposed tooth root | Increased sensitivity |
| Loose or shifting teeth | Bite problems |
| Heightened tooth sensitivity | Difficulties in chewing |
Tips for Preventing Gum Recession
One practical approach to prevent gum recession is maintaining good oral hygiene practices, such as regular brushing and flossing. Proper oral care can help remove plaque and bacteria contributing to gum disease, a leading cause of gum recession. In addition to regular brushing and flossing, there are several other tips for preventing gum recession:
- Avoid tobacco use: Smoking or chewing tobacco increases the risk of gum disease and can worsen gum recession.
- Eat a balanced diet: A diet rich in vitamins and minerals can promote healthy gums and prevent gum disease.
- Consume foods high in vitamin C: This vitamin helps support gum health by promoting collagen production.
- Incorporate foods rich in omega-3 fatty acids: These healthy fats have anti-inflammatory properties that can benefit the gums.
Natural remedies for gum recession include using aloe vera gel or green tea mouthwash, which have been found to reduce inflammation and promote healing. However, it’s important to note that these remedies should not replace proper oral hygiene practices but complement them.

How to Restore Gum Tissue Naturally
Gum tissue restoration can be supported through various natural methods, offering a gentle yet effective approach to improving oral health. One of the most promising natural remedies for stimulating gum tissue regrowth is through consistent application of aloe vera gel. Rich in anti-inflammatory and healing properties, aloe vera helps soothe irritated gums and encourages tissue repair. Additionally, massaging the gums with natural oils like coconut oil or eucalyptus oil can aid in boosting circulation and promoting regeneration.
Another key factor in restoring gum tissue naturally involves maintaining excellent oral hygiene. Brushing gently with a soft-bristled toothbrush and using a fluoride-free toothpaste can prevent further damage and support the body’s natural healing processes. Alongside these practices, a balanced diet rich in vitamins C and D, as well as antioxidants, can fortify gum health and aid in tissue regeneration.
By combining these natural remedies and practices, you can effectively promote gum tissue restoration and support overall oral health without harsh chemicals or invasive procedures. Always consult with a dentist for personalized guidance tailored to your specific needs and conditions.
Treatment Options for Gum Recession
Various treatment options are available for managing gum recession, including surgical interventions and non-surgical approaches. Surgical treatments such as gum grafting involve taking tissue from another part of the mouth and attaching it to the receded area. This procedure can help cover exposed tooth roots and restore gum tissue. Non-surgical approaches include scaling and root planing, which involves deep cleaning of the teeth and removing plaque and tartar from below the gum line. Natural remedies for gum recession may also be considered, such as using aloe vera gel or applying green tea bags to affected areas. It is essential to consult a dental professional to determine the most suitable treatment option based on the recession’s severity and individual needs.
Importance of Regular Dental Check-Ups
Regular dental check-ups are crucial in maintaining oral health and preventing potential complications. They are an essential part of a comprehensive approach to oral hygiene. Here are some reasons why regular dental check-ups are essential:
- Early detection of oral health issues: Regular check-ups allow dentists to identify signs of tooth decay, gum disease, or other oral health problems early. This enables prompt treatment and prevents the condition from worsening.
- Professional cleaning: Regular cleanings help remove plaque and tartar buildup that cannot be adequately addressed through regular brushing and flossing alone.
- Prevention of systemic health issues: Poor oral hygiene can have a significant impact on overall health, increasing the risk of conditions such as cardiovascular disease, diabetes, respiratory infections, and adverse pregnancy outcomes.

Lifestyle Factors That Contribute to Gum Recession
Lifestyle factors, such as smoking and poor oral hygiene practices, have been identified as contributing factors to the development of gum recession. Dietary habits also play a role in gum health. Consuming a diet high in sugary foods and beverages can increase the risk of gum disease, including gum recession. Additionally, inadequate nutrition may weaken the immune system, making individuals more susceptible to periodontal infections. On the other hand, maintaining a balanced diet rich in vitamins and minerals can support optimal gum health. Smoking cessation is crucial for preventing further progression of gum recession. Smoking damages blood vessels and weakens the immune system’s ability to fight off infections, impairing healing and increasing the risk of periodontal diseases like gum recession. Adopting healthy dietary habits and quitting smoking are essential steps toward maintaining good oral health and preventing or halting the progression of gum recession.
Long-Term Effects of Untreated Gum Recession
Untreated gum recession can have significant long-term consequences and a psychological impact on individuals. Here are some of the potential effects:
- Dental Complications:
- Increased risk of tooth decay: As gums recede, the roots of teeth become exposed, making them more susceptible to decay.
- Tooth sensitivity: Receding gums often increases tooth sensitivity, causing discomfort while eating or drinking hot or cold substances.
- Functional Impairment:
- Difficulty chewing: When gum recession is left untreated, it can result in loose teeth or gaps between teeth, making it challenging to bite and chew properly.
- Altered speech: In severe cases, gum recession may affect speech patterns due to changes in the alignment of teeth.

These physical ramifications can contribute to decreased self-esteem, social anxiety, and reduced quality of life. Therefore, timely treatment and preventive measures are crucial to minimize untreated gum recession’s potential long-term consequences and psychological impact.
Gum recession tips are essential for maintaining oral health and preventing the severity of receding gums. By implementing proper oral hygiene practices, such as regular brushing, flossing, and routine dental check-ups, you can significantly reduce the risk of gum recession progressing to a more serious condition. Taking proactive measures to address gum recession can help protect your smile and overall well-being. Explore more about this topic in our in-depth article on gum recession tips.
Damarion Haley stands as a prominent authority in the fields of Pediatric Dentistry and Dental Health Education, celebrated for her exceptional credentials and qualifications. Aims to provide a comprehensive insight into Damarion Haley’s impressive background, underscoring her pivotal role in the realm of children’s oral health and dental education.

