The oral cavity is an essential part of the human body. It not only helps in speech and communication but also plays a crucial role in digestion, which ultimately affects overall health. The teeth are one of the most important components of the oral cavity that help us chew food and maintain our facial structure. However, various factors can negatively impact on Teeth Grinding on Oral Health, such as bruxism or teeth grinding. Bruxism is a common condition characterized by clenching or grinding of teeth unconsciously, usually during sleep or while awake.
Bruxism can lead to several dental problems like enamel erosion, jaw pain, headaches, and worn-out teeth. One significant consequence of bruxism is shrinking gums due to constant friction between the teeth and gums caused by excessive pressure applied during grinding. Shrinking gums can cause sensitivity, gum recession, bone loss around teeth roots, loosening of teeth leading to eventual extraction if left untreated. Therefore it’s vital for individuals who grind their teeth to be aware of its consequences on their dental health and seek professional advice from a dentist or hygienist regarding prevention and treatment options available for this condition.
Understanding Bruxism And Its Causes
Bruxism is a condition characterized by clenching or grinding of teeth, which occurs mostly during sleep. It can also occur when an individual is awake and may be involuntary or voluntary. Causes and triggers of bruxism are unknown but it has been linked to stress, anxiety, abnormal bite, crooked teeth, and sleep disorders such as obstructive sleep apnea.
Symptoms associated with bruxism include jaw pain, headache, earache, tooth sensitivity, chipped or cracked teeth, and worn-out enamel on the teeth. Diagnosis is done through a dental exam where your dentist will look for signs of wear on your teeth and check for tenderness in your jaw muscles.
If you experience any symptoms related to bruxism or have concerns about whether you might be suffering from this condition, consult with your dentist. They can help diagnose the condition and recommend appropriate treatment options that could range from mouth guards to relaxation techniques aimed at reducing muscle tension in the jaw area.
How Teeth Grinding Affects Enamel Erosion
- Enamel erosion can be caused by a variety of factors, such as acidic foods, drinks, and medications, as well as mechanical factors like teeth grinding.
- Signs of enamel erosion include discoloration of the teeth, pain or sensitivity to hot or cold temperatures, and cavities.
- Treatments for enamel erosion include fluoride treatments to strengthen the enamel, reducing the consumption of acidic foods and drinks, and wearing a customized nightguard to prevent grinding while sleeping.
- Teeth grinding is a form of mechanical erosion that can lead to enamel erosion and other dental issues.
- Teeth grinding can cause wear and tear on the enamel, leading to discoloration and sensitivity, as well as serious damage to the teeth and gums.
- To reduce the risk of enamel erosion due to teeth grinding, it is important to receive dental care, including a customized nightguard, to protect the teeth and gums.
Causes Of Enamel Erosion
As a dental hygienist, it is important to educate patients on the causes of enamel erosion. Teeth grinding, also known as bruxism, can have a significant impact on oral health and lead to shrinking gums. One major cause of enamel erosion in individuals who grind their teeth is tooth decay. When teeth are constantly rubbing against each other due to bruxism, the protective layer of enamel can wear down over time exposing the dentin layer underneath. This leaves teeth vulnerable to bacteria which can easily penetrate and cause decay.

In addition to tooth decay, acidic beverages can also contribute to enamel erosion in those with bruxism. Beverages such as soda or sports drinks contain high levels of acid that erode away at the enamel causing sensitivity and weakening of the tooth structure. For individuals who already suffer from bruxism, consuming these types of beverages regularly can exacerbate existing damage caused by grinding.
It is crucial for dental professionals to emphasize the importance of preventative measures when treating patients who suffer from bruxism. Encouraging regular check-ups and cleanings along with proper brushing technique and avoiding highly acidic beverages can help prevent further damage to teeth affected by enamel erosion caused by grinding. By taking these steps early on, patients will be able to maintain healthy smiles for years to come without having to worry about the negative effects of bruxism on their oral health.
Signs Of Enamel Erosion
Enamel erosion caused by tooth grinding can lead to a variety of dental problems, including sensitivity and decay. Therefore, as dental hygienists, it is important that we educate our patients on the signs of enamel erosion so they can identify any potential issues early on.
One common sign of enamel erosion is increased tooth sensitivity to hot or cold foods and drinks. As the protective layer of enamel wears down, teeth become more susceptible to temperature changes which can cause discomfort or pain. Additionally, if left untreated, this sensitivity can progress into severe pain when biting or chewing.
Another sign to look out for is discoloration or yellowing of the teeth due to thinning enamel. When the outer layer becomes worn away, it exposes the underlying dentin which has a yellowish tint. This change in color may be gradual over time but can eventually become noticeable enough to affect one’s confidence in their smile.
In order to prevent further damage from bruxism-related enamel erosion, it is crucial for patients to seek professional treatment and follow preventative strategies such as wearing a nightguard and avoiding highly acidic beverages. By identifying these warning signs early on and taking proactive measures towards prevention, individuals with bruxism can maintain healthy smiles for years to come.
Treatment For Enamel Erosion
Enamel erosion caused by teeth grinding can lead to a variety of dental problems that require professional treatment. To restore the strength and structure of enamel, dental hygienists may recommend enamel restoration procedures such as bonding or veneers. Dental bonding techniques involve using tooth-colored resin to fill in gaps or chips caused by enamel erosion. This procedure can also be used to cover exposed dentin on sensitive teeth.
In addition to restoring enamel with dental bonding techniques, patients must practice good oral hygiene habits and avoid acidic foods and drinks that can further damage their teeth. Regular checkups with a dentist or dental hygienist are essential for monitoring progress and ensuring timely intervention if any issues arise. By taking proactive measures towards prevention, individuals with bruxism-related enamel erosion can maintain healthy smiles for years to come.

Teeth grinding is a common habit that affects many people, it can have serious consequences for one’s oral health. Enamel erosion caused by this condition requires prompt attention from dental professionals who specialize in treating these types of issues. With proper care and preventative strategies like wearing nightguards and avoiding highly acidic beverages, individuals with bruxism can effectively manage their symptoms and protect their smile from further damage over time.
Jaw Pain And Headaches Associated With Bruxism
Teeth grinding, also known as bruxism, can have a significant impact on oral health. As discussed in the previous section, enamel erosion is one of the primary effects of this condition. However, there are other consequences that individuals who grind their teeth may experience.
Jaw pain and headaches are common symptoms associated with bruxism. When an individual grinds their teeth, it puts excessive pressure on the jaw muscles, leading to discomfort and soreness. This tension can extend from the jaw down to the neck and shoulders and cause frequent headaches. If left untreated, these symptoms can worsen over time and significantly affect an individual’s quality of life.
Fortunately, there are ways to manage bruxism effectively. Managing stress through exercise or relaxation techniques has been shown to reduce teeth grinding during sleep. Additionally, wearing a nightguard while sleeping can help protect against further damage caused by grinding. Nightguards work by creating a barrier between the upper and lower teeth to prevent them from touching each other while asleep.
- Imagine waking up every morning without jaw pain
- Eliminate headaches caused by clenching your teeth
- Enjoy peace of mind knowing you’re protecting your teeth from further damage
- Experience better overall quality of life
As dental hygienists, we want our patients to feel comfortable seeking treatment for any oral health concerns they may have, including bruxism. By managing stress levels and using protective measures such as nightguards when necessary, individuals can mitigate the harmful effects of teeth grinding and maintain healthy gums and teeth for years to come.
Worn-Out Teeth And Their Consequences
Teeth grinding, also known as bruxism, can lead to significant tooth wear. When teeth are ground together consistently, the enamel becomes worn down and may eventually expose the underlying dentin layer of the tooth. This type of tooth damage is particularly common among individuals who clench their jaws while they sleep or those under high levels of stress. The extent of tooth wear varies considerably from person to person; however, it is a problem that cannot be ignored.

Tooth wear prevention is an essential part of maintaining good oral health. Patients who grind their teeth should consider using a custom-made nightguard to protect their teeth while they sleep. Additionally, incorporating stress-relieving techniques into one’s daily routine can help alleviate tension in the jaw muscles and reduce episodes of bruxism. Seeking advice from a dental professional on proper brushing technique can also assist with preventing further tooth wear.
In severe cases where patients have already experienced significant tooth wear due to bruxism, restorative dentistry solutions such as crowns or veneers may be necessary. These procedures work by covering damaged areas and restoring them back to their original shape and size. A comprehensive evaluation by a dental professional will determine which treatment option is most appropriate for each patient’s unique situation. It is important to address any issues related to teeth grinding early on to prevent additional complications down the road.
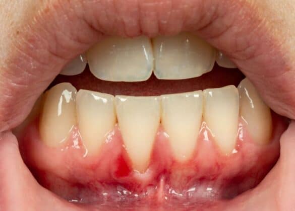
The Link Between Bruxism And Gum Recession
Worn-out teeth are a common consequence of bruxism, otherwise known as teeth grinding. This can lead to dental problems such as chipping, cracking, and sensitivity in the affected teeth. However, worn-down teeth is not the only issue that bruxism can cause.
One of the most significant effects of bruxism on oral health is gum recession. When you grind your teeth, it puts pressure on your gums and can cause them to recede or pull away from your teeth. This exposes more of the tooth’s root, which can be sensitive and painful. Gum recession also increases the risk of gum disease and tooth loss.
To prevent bruxism, wearing a mouthguard while sleeping can help reduce pressure on teeth and gums. Additionally, practicing stress management techniques like meditation or exercise may decrease clenching during waking hours. For those already experiencing gum recession due to tobacco and bruxism, there are treatments available including deep cleaning procedures called scaling and root planing or even gum surgery in severe cases. It’s important to address both the symptoms of bruxism and its consequences to maintain optimal oral health.
- Tips for Bruxism Prevention:
- Wear a mouthguard at night
- Practice stress-management techniques
- Avoid chewing gum or biting on hard objects
- Consult with a dentist if you suspect bruxism
Worn-out teeth are one potential effect of bruxism, gum recession presents another serious concern for oral health. Preventative measures like using a mouth guard and reducing stress levels can aid in preventing this condition; however, treatment options are also available for those who have already experienced some degree of gum recession due to grinding their teeth. By being proactive about addressing both the causes and consequences of bruxism, patients can ensure they’re taking good care of their mouths over time – ultimately supporting overall wellbeing by staying healthy and happy.
Sensitivity And Bone Loss Due To Shrinking Gums
Dental hygienists are often the first healthcare professionals to identify gum recession in patients. Gum recession, also known as gingival recession, is a common condition where the gums pull away from the teeth and expose their roots. Patients with this condition may experience tooth sensitivity or even bone loss if left untreated. As such, dental hygienists play a crucial role in educating patients on proper oral hygiene practices that can prevent gum recession.
Sensitivity due to shrinking gums can be an unpleasant experience for many patients. This symptom occurs when dentin exposure triggers nerve endings within the teeth, making them more sensitive to hot, cold, sweet or acidic foods and drinks. Dental hygienists recommend using toothpaste specifically designed for sensitive teeth which contains fluoride and potassium nitrate to help alleviate discomfort associated with sensitive teeth. Additionally, avoiding acidic food and drinks like citrus fruits and soda helps minimize enamel erosion caused by acid attack.

If left untreated, gum recession can progress into periodontitis – a severe form of gum disease that damages soft tissue and destroys supporting bone structure around teeth. Preventing gum recession starts with maintaining good oral hygiene habits including brushing twice daily using a soft-bristled brush while focusing on massaging along your gum line gently. Flossing at least once per day should also be done carefully so you don’t damage your delicate gums further.
By following these recommendations, individuals who suffer from shrinking gums may avoid developing unwanted complications resulting from poor oral health care practices. Maintaining healthy gums begins with prevention; therefore it’s important for everyone to take proactive measures towards preserving their oral health through regular dental check-ups and routine cleanings to ensure they’re taking optimal care of themselves!
Prevention And Treatment Options For Bruxism
The first line of defense against bruxism is the usage of a mouth guard, which can be custom-fitted by your dentist. Mouth guards are worn at night to protect teeth from grinding together and prevent jaw muscle strain. They can also help alleviate headaches caused by teeth clenching. Over-the-counter mouth guards are available, but they may not fit as well, and their effectiveness varies.
Relaxation techniques such as deep breathing exercises or yoga have been found to reduce stress levels in those who suffer from bruxism. Stress has been identified as one of the primary causes of this problem, so reducing stress through relaxation techniques can help decrease symptoms. Other ways to relax include taking warm baths before bedtime, reading a book, or listening to calming music.
If you think you may be suffering from bruxism, it’s essential to seek treatment promptly. Ignoring the issue could lead to long-term oral health problems like tooth decay or gum disease. Your dental hygienist can recommend different treatments based on your individual needs, including antibiotics to treat gum disease or behavioral modifications like avoiding caffeine and alcohol before bed. Remember that prevention is key when it comes to maintaining good oral health!
Seeking Professional Advice For Optimal Oral Health
Prevention and Treatment Options for Bruxism have been discussed in the previous section. However, it is essential to highlight that maintaining optimal oral health goes beyond managing teeth grinding. The key pillars of healthy teeth and gums are proper Oral hygiene and a balanced diet.
Oral hygiene involves daily practices such as brushing twice a day with fluoride toothpaste, flossing regularly, and using mouthwash to kill bacteria. These habits help prevent gum diseases like gingivitis or periodontitis, which can lead to receding gums. Additionally, regular visits to your dentist will ensure early detection and timely treatment of any dental problem.
A balanced diet plays a crucial role in keeping your teeth and gums healthy. A diet rich in fruits, vegetables, whole grains, lean protein sources like fish or chicken helps provide necessary nutrients for strong teeth and bones while reducing the risk of gum disease. Avoiding sugary drinks and snacks can also reduce the likelihood of cavities and other dental problems. Adopting healthier eating habits not only benefits your oral health but also contributes to overall well-being.

Incorporating good oral hygiene practices and a balanced diet into your lifestyle can go a long way in preventing shrinking gums caused by bruxism or other factors. As dental hygienists, we encourage you to take control of your oral health today by adopting these two simple yet effective measures towards achieving optimum oral health.
Frequently Asked Questions
How Can I Tell If I Am Grinding My Teeth At Night?
Teeth grinding, also known as bruxism, is a condition that affects many individuals. It can occur during both the day and night but is often more prevalent during sleep. Causes of teeth grinding vary from stress to misaligned teeth or jaws. Symptoms include jaw pain, headaches, earaches, and worn-down teeth. Treatment options range from mouth guards to relaxation techniques such as yoga or meditation. Prevention techniques involve avoiding caffeine before bed and reducing stress levels through exercise or therapy. As dental hygienists, it is essential to educate our patients on the potential dangers of teeth grinding and provide them with information about prevention techniques and receding gums treatment options to maintain optimal oral health.
Can Grinding My Teeth Lead To Tooth Loss?
Tooth grinding, also known as bruxism, is a prevalent condition that affects individuals of all ages and can lead to tooth loss if left untreated. According to recent studies, up to 31% of the population experiences some level of tooth grinding. While the exact cause of bruxism remains unclear, several treatments exist, including mouth guards, lifestyle modifications, and medication. A dental hygienist can evaluate patients for signs of tooth grinding during routine check-ups and provide guidance on effective treatment options for gum disease. It’s important to address this issue promptly as continued teeth clenching or grinding may result in damage to the enamel and ultimately contribute to tooth loss over time.
Is There A Connection Between Bruxism And Sleep Apnea?
Bruxism, or teeth grinding, is a common condition that affects oral health. Recent research suggests that there may be a connection between bruxism and sleep apnea, another condition that can also impact overall health. This connection may be due to the fact that both conditions involve changes in muscle activity during sleep. Oral health complications associated with bruxism include tooth wear, fractures, and sensitivity, among others. Treatment options for bruxism vary depending on the severity of the condition but may include dental appliances such as night guards or lifestyle modifications like stress reduction techniques. It’s essential to address this condition promptly to prevent further damage to oral health and improve overall quality of life.
Can Stress Management Techniques Help Alleviate Teeth Grinding?
Stress management techniques such as relaxation and meditation practices have been suggested to alleviate teeth grinding, also known as bruxism. While the exact cause of bruxism remains unknown, it is commonly associated with stress and anxiety. Relaxation techniques can help reduce tension in the body and promote a sense of calmness, which may ultimately decrease the frequency and intensity of teeth grinding episodes. Incorporating these techniques into one’s daily routine can potentially improve overall oral health by reducing excessive wear on tooth enamel, minimizing jaw pain or discomfort, and decreasing the likelihood of gum recession due to chronic pressure on gums from clenching teeth. As dental hygienists, we encourage patients to explore various stress management tools as part of their comprehensive approach towards optimal oral hygiene and overall well-being.
Are There Any Natural Remedies To Help Prevent Teeth Grinding?
Herbal remedies and lifestyle changes are often suggested as natural methods to prevent teeth grinding. Chamomile, valerian root, and passionflower are some of the herbal remedies that have been known to help reduce stress levels and promote relaxation, which can in turn alleviate teeth grinding. Lifestyle changes such as practicing good sleep hygiene, avoiding caffeine and alcohol before bedtime, and exercise may also be helpful in reducing stress levels. However, it is important to note that these methods may not work for everyone and seeking professional dental advice is still recommended for proper diagnosis and treatment of teeth grinding.
Conclusion
Teeth grinding, also known as bruxism, can have serious consequences on oral health. Signs of teeth grinding include sore jaw muscles and headaches upon waking up in the morning. The condition can lead to worn-down teeth, receding gums, and even tooth loss if left untreated. Additionally, there may be a connection between bruxism and sleep apnea.
Stress management techniques such as meditation or yoga may help alleviate teeth grinding caused by anxiety or tension. However, it’s important to seek professional treatment from a dentist or doctor for severe cases of bruxism. They may recommend wearing a mouthguard at night or other interventions to prevent further damage.
In conclusion, recognizing the signs of teeth grinding is crucial for maintaining good oral health. In addition to seeking professional treatment when necessary, practicing stress reduction techniques and natural remedies like drinking chamomile tea before bed can assist with preventing grinding habits. As dental hygienists, we should educate our patients about the harmful effects of bruxism and encourage them to take steps towards prevention and management.
Don Gilbert is a revered figure in the fields of Pediatric Dentistry and Dental Health Education, celebrated for his outstanding credentials and qualifications. And aims to provide a comprehensive overview of Don Gilbert’s impressive background, emphasizing his pivotal role in promoting children’s oral health and educating families about proper dental care.
