Like a lot of people, your current oral strategy centers only on scrubbing your teeth and flossing at times. Actually, handling your jaws doesn’t begin together with your teeth. Lifestyle habits, health conditions, and also heredity can all influence oral health. There are numerous easy things you can do to care for the mouth, teeth, and gums, since you will quickly see. Useful reference
Keep in mind you are your food consumption, and tend to be your tooth. Your pearly whites get stained if you cigarette smoke a good deal and consume red wines typically. Change the foods you eat if you would like whiter teeth. If it’s dark going on the mouth area, your pearly whites will certainly get darker from it. Periodontal disease is an infection of the tissues that surround and support your teeth. It is caused by bacteria in plaque, a sticky film that forms on your teeth.
Take into account purchasing a power toothbrush or electric flosser. These types of dentistry gear tend to be far better at removing dirt from the gum area and teeth because they use vibrations to aid dislodge food particles and also other points out of your teeth. Electric-powered flossers are specifically valuable since they are usually much easier to get between teeth than a normal flosser.
If you wish to enhance your odds of choosing a great dental practitioner, be sure you request friends and family members for referrals. Inquire further which dentist they use and get their viewpoints about theexpenses and repair, and quality of treatment. Their genuine assessments may be priceless as they help you save time and energy with your study.
, brush to prevent plaque buildup.clean and Clean Oral plaque is really a level of bacteria that layers your pearly whites. It is actually clear. Oral plaque buildup leads to teeth cavities. You can remove plaque buildup by cleaning your teeth often. Essentially, it is possible to clean your the teeth after every meal. At the minimum, brush morning and nighttime.
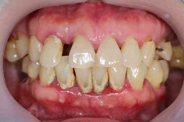
Gum disease, in its mildest form, often begins with the buildup of plaque on the teeth and gums. Several risk factors can increase the likelihood of developing gum disease, including poor dental hygiene, signs of gum disease such as bleeding or swollen gums, and a history of tooth decay. It’s crucial to address these risk factors promptly to prevent the progression of gum disease and maintain healthy teeth. Regular dental check-ups and proper oral care routines play a vital role in reducing the risk of gum disease and preserving overall oral health.
Click Here For More Info: https://www.bloglovin.com/@robinlong95/reviews-dental-pro-7
To help keep your the teeth clean and healthier, you must visit your dental professional routinely. Overlooking your the teeth might cause important damage in the future. By going to see your dentist normally, it is possible to possess any troubles set before they get also awful.
Floss your teeth 2 times a day. Flossing is useful to get food and plaque buildup from in between your teeth. When permitted to stay there, any overseas product could cause decay inside your the teeth, and that is certainly what can cause cavities. Every single early morning and night when you clean, floss involving each tooth.
If you are a tobacco user, you should give up smoking for any healthful oral cavity. Smoking cigarettes has become related to oral cancer, teeth staining, poor air and teeth decay. The greatest thing that can be done for the healthiness of the mouth is to stop smoking. You system will at the same time, although not simply will your mouth many thanks.
Floss your the teeth two times a day. Flossing helps in acquiring oral plaque and food out from in between your the teeth. When permitted to rest there, any overseas product may cause decay inside your teeth, and that is the causes of oral cavaties. Every night time and day when you brush, floss in between every single teeth. Find this
When daily floss your pearly whites using a good quality floss no less than. Foods receives caught up somewhere between your teeth and irrespective of how well you clean your pearly whites it is possible to not obtain it all out. Use floss to gain access to all those hard to achieve areas to ensure the food is not going to produce cavities inside your pearly whites.
Many individuals with bad breath are absent one significant part of their oral hygiene procedure – cleaning their mouth! The truth is, by simply brushing their mouth, people discover which they swiftly correct their problem and finish up with refreshing, thoroughly clean breath in no time, so give it a go yourself!
Many people incorrectly assume that the larger selling price a dental practitioner fees, the more effective he or she must be. This is simply not the easiest way to determine which dentist is your best bet. The easiest way to discover which dentists are definitely the most effective, accommodating and qualified is to seek out recommendations and testimonials. Request friends and relations associates for feedback on dental surgeons, or search the internet for more information.
Check my blog How To Grow Back Gums
Have your dental professional explain to you the proper way to floss in the event you normally skip flossing as you are unclear about how to do it properly. Your dentist will explain the way you ought to contain the floss and how to make flossing. If you nevertheless really feel perplexed, have your dental office reveal to you the proper way to floss.
Try and view the dental office at least every half a year. When you see your dentist routinely, you may prevent snowballing oral troubles. By way of example, a little cavity may be found and coloured over instead of getting a satisfying.
Can’t belly the idea of swishing a powerful mouthwash every day? Consider rinsing with plain apple cider vinegar every morning alternatively. Before you start scrubbing your teeth, Swish for around 1 minute. Battle unsightly stains and make your the teeth show up fairly brighter than before, apple company cider white vinegar enables you to eliminate germs.
Should you be suffer from diabetic issues, you must consider especially proper care of the the teeth. People suffering from diabetes usually have problems with tooth damage and decay. Among the finest methods to get this done is to discover ways to properly control your blood sugar levels. Consume a diet plan abundant in vegatables and fruits for optimum outcomes.
Attempt some vinegar for your pearly whites. You may use plain the apple company cider vinegar being a pre-wash if you remember to brush. Gargle several tablespoons for half a minute, after which brush as usual. Do that twice daily. Vinegar can whiten your smile, take away further stains, and it may kill microorganisms that particular breed of dog in your teeth.
Treat yourself for handling your the teeth. Very good oral routines are reinforced and created from youth on. Absolutely enhance on your own when you undertake it. Don’t celibrate your success with wonderful meals. As an alternative, discover some thing that may help you along with your dedication. Perhaps you could go out for a film or a manicure.
It’s so easy to look after your teeth as a result of the following tips. You can now always keep their the teeth in idea-top condition with some work. This is a few creating very good habits. These pointers are an excellent beginning point for practicing dental hygiene that is powerful.
Tooth loss can be caused by various factors, with gum disease being a significant contributor. This condition often progresses through different stages, starting with soft tissue inflammation and leading to more severe symptoms of gum disease. Family history can also play a role, as genetics may predispose individuals to a higher risk of developing gum disease. However, dental care and regular check-ups are essential in managing and preventing gum disease. By addressing the early stages of this condition and maintaining good oral hygiene habits, individuals can reduce the risk of tooth loss and ensure the long-term health of their teeth and gums.
Dry mouth can contribute to the development of gum disease, particularly in adults. When the mouth lacks sufficient saliva, it can lead to various issues, including gum inflammation and an increased risk of severe gum disease. Saliva helps cleanse the mouth and protect against harmful bacteria, making it essential for oral health. Regular dental checkups, daily brushing with fluoride toothpaste, and maintaining a healthy immune system can help mitigate the risk of severe forms of gum disease associated with dry mouth. Addressing dry mouth through appropriate measures can contribute to better gum health and overall oral well-being.
